喜迎2008年来临之际中国蛇协湘潭友爱癫痫病专科医院刘传群、董月娥副院长率专家团来襄樊举行大型爱心会诊活动30天
什么是癫痫病?
癫痫病是一种大脑神经元细胞异常过度放电而引起的发作性、突然的、暂时性而又反复性的脑功能紊乱。俗称“羊羔风”、“羊角疯”、“猪婆风”。在我国发病率较高,可发生于任何年龄,青少年及妇女尤为多见。临床表现可概分原发性、继发性两种类型。其临床表现呈各种形式,最常见的是意识障碍或意识丧失、突然倒地、四肢抽搐、两眼上视、口吐涎沫、大小便失禁,限局性或全身性肌肉强直性或阵痉性抽搐,行为异常、记忆功能减退、醒后不能回忆发病过程,或植物神经功能紊乱等。据世界卫生组织(WHO)报告显示,癫痫病已成为威胁人类健康的“五大隐形杀手”之一,引起全世界医学界高度重视。
为什么癫痫病患者久治不愈?
中国蛇协副会长,湘潭东方友爱癫痫病专科医院成贵芳院长、刘传群副院长为您解惑答疑……
一是对癫痫病患者的诊断,由于传统医学诊断水平欠发达,临床医生大多凭患者自述症状及常规检查为其确诊,缺乏科学的诊断依据,不能及时准确了解患者大脑神经元异常放电具体部位、放电机理及放电频率等病因;二是以往临床上治疗癫痫病只有依靠抗中枢神经类西药,如“卡马西平”、“丙戊酸钠”、“苯妥因钠”、“妥泰”、“德巴金”等。这些西药成份只能临时控制大脑异常放电频率,不能彻底根除癫痫病灶。长期服用还会严重损害人体肝、肾、血液、大脑等器官正常功能,在体内产生药物依赖性和耐药性,停药后立即出现病情反弹;三是癫痫病患者病急乱投医,没有系统接受过中医治疗,误认为西医可战胜一切疾病。以上三点是造成久治不愈的主要原因。
黄金搭档 “扫雷专家”
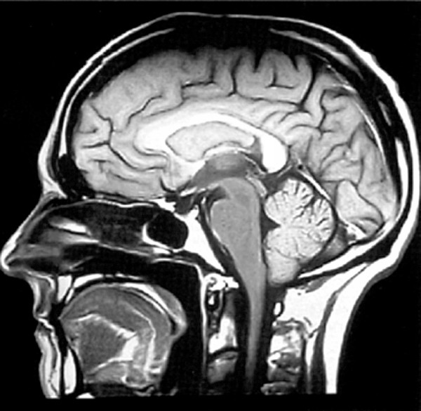
随着二十一世纪医学技术不断发展、创新,一大批高科技医疗设备陆续研发成功并投入临床,为癫痫病的检测提供了科学、可靠的诊断依据。“脑电地形图”和“经颅多普勒”的问世,更堪称人类诊断治疗癫痫病的里程碑,它弥补了癫痫病治疗领域的零设备空白,终结了传统依靠人工问病诊断的历史。数码脑电地形图诊断仪,能在无创、高效、安全的情况下,迅速检测到大脑异常放电频率、强弱及范围等重要依据。经颅多普勒则采用对大脑血流量监测原理,为临床专科医生提供及时快速判断脑部异常放电部位,帮助患者走出诸多误诊、漏诊等盲目误区。“脑电地形图”+“经颅多普勒”双向互动检测,为人类攻克癫痫病作出重大贡献,被医学界誉为诊断“癫痫病”的“黄金搭档”、“扫雷专家”。可以说,中国蛇协副会长成贵芳投资创办的湘潭东方友爱癫痫病专科医院诊疗技术超一流,患者放心做出正确选择。
永州稀有异蛇 拯救天下罹患
说起“癫痫病”与“草本蛇药”两者似乎不太相关的字眼结缘,还要从40年前的一个故事说起。1967年夏天的一个中午,中国蛇协会长、全国著名老中医舒普荣主任医师,在他工作的蛇药研究所收治一名50多岁的蛇伤病人,病人是在上山打猎中不幸被毒蛇咬伤。舒老立即根据当时病情,为其开据了两个疗程其自研发明“太光青龙蛇药”,并为患者交待了使用方法及注意事项,不久后患者蛇伤全愈,舒老也将此事渐渐淡忘。是呀,在蛇药研究所工作几十年以来,舒老已忘却自己收治了成千上万的蛇伤病人。时隔数月后的一天,这位患者在家人陪同下又来到舒老创办的蛇伤研究所,出现在舒老眼前的时候舒老刚开始还心头一震,这人怎么又不小心被蛇咬伤了?此时,这位患者家属耐不住内心欢喜,双手捧上做好的一在红艳艳的锦旗 “医癫圣手、华佗再世”。舒老满脸疑惑,迫不及待听患者从头道来……
原来,在上次被毒蛇咬伤过以前,患者从小就患有原发性癫痫病,突倒在地、四肢抽搐、口吐白沫、神志不清,每次发作达2小时,每月发病6-8次。一直靠“卡马西平”、“苯妥因钠”等药物维持。然而长期用药后,药量还在原先基础上逐渐加了近两倍,仍得不到控制,检查时发现肝、肾等重要器官受到严重损害。一方面失去治疗信心,一方面迫于当年家庭经济危机,患者便放弃了治疗的念头。
据患者家属回忆,在服用舒老为患者开具的“太光青龙蛇药”一个多疗程后,患者蛇伤部位已经基本痊愈。为健康安全起见,就遵舒老医嘱服完最后几付中药。奇迹发生了,在服完蛇药后,患者平常每个月发作6-8次的癫痫病再也没有发作。刚开始患者还不是很在意,直至半年后的今天,才抑制不住心中的喜悦,登门拜谢!于是,才发生了刚开始的那一幕。
拜谢完毕,患者又强烈要求舒老为其26岁的儿子 (遗传性癫痫病家族史)开具了“太光青龙蛇药”三个疗程。转眼又是半年过去,患者家属又传来佳讯,他的癫痫病再也没复发、儿子的癫痫病也已完全康复!
“太光青龙蛇药”以湖南永州盛产的稀有异蛇及草本蛇药组成,原是治疗蛇伤,为什么能够控制大脑神经元异常放电治疗癫痫病呢?舒老带着重重疑惑,召集他的三大学徒(大徒成贵芳,二徒刘传群、董月娥,三徒张国峰)研究决定,誓力要组织全国中医专家、教授进一步开发永州草本蛇药治疗癫痫病,以“拯救天下癫痫病患者脱离苦海”为终生远大理想!
科技打造经典 癫痫品牌连锁
经过近四十年临床研究,不断深入探讨、不断技术创新,舒老门下三大高徒共同努力协作、不负重望,出生湖南永州的成贵芳,研制一种名为“蛇药医痫丸”的草本蛇药震撼问世。采用纯天然无污染的乌梢蛇、蜈蚣、全蝎、雄黄、天南星、僵蚕等23种中药材,经过特殊工艺研制加工而成,并在北京、天津、上海、广州、西安、杭州、长沙等各大医院长达5年的临床验证,具有高效、长效的抗癫痫作用,尤其对儿童、青春期妇女、脑瘫、外伤型、精神运动型癫痫效果更佳。该药获得国家食品药品监督管理局获准,批准文号:国药准字Z20013078、H22025507,并被收入中华中医药典保密处方。
研究发明了“穴位种植”、“中医割治”,该疗法堪称国内外一绝。传承祖国五千年传统中医药文化,以蛇药配方泡制羊肠线植入体层,长效刺激穴位之原理、醒脑开窍、祛痰解痉、修复受损脑细胞,促进新细胞再生。因此,“草本蛇药”、“穴位种植”、“中医割治”三大疗法被专家誉为“三联创新疗法”。
舒老门下三大高徒誓用毕生的精力服务于全中国的癫痫病患者。大徒成贵芳教授以品牌连锁全国为经营目标,在投资3000余万元创办湘潭东方友爱癫痫病连锁专科医院(0732-8553529,河东大道宝塔路口);永州友爱癫痫病专科医院 (0746-8367338,市梅湾路市水利局旁),荆州文湖癫痫病专科医院 (开设电话:0716-4160555,董月娥应诊,北京西路305号,凯乐大剧院斜对面)襄樊康健癫痫病专科医院(0710-3975927,樊城区春园西路12号)河北涿州友爱癫痫病专科医院;二徒刘传群、董月娥教授则被经常国内各大医院应邀出席各种大型学术报告会、开发临床协作基地及组织策划大型爱心会诊活动等。三徒张国峰教授常年留美继续深造,采用世界最先进的设备对永州之野——草本蛇药进行量化分析、科学萃取……
“三联创新疗法”
治疗癫痫病5大突破
1、一周内快速阻断大脑神经元异常放电;
2、迅速修复大脑受损脑细胞、促进新细胞再生;
3、激活人体自身免疫系统,提高机体免疫力,防止复发;
4、无需长期服药,不损害肝、肾等正常器官;
5、解除长期服用卡马西平、丙戊酸钠、德巴金留存于体内的毒素。
治疗癫痫病 疗效才是硬道理
荆州七里铺黄女士,36岁,七年前因为一次脑外伤引起癫痫病。每次发病总是在月经期时,发作时突倒在地、两眼上翻、口吐白沫、四肢抽搐、神志不清,曾在太原、西安、北京等大医院治疗无效果。上网查询得知,来到中国蛇协癫痫病临床协作基地——荆州文湖癫痫病医院门诊,经中国蛇协副会长、著名癫痫病专家刘传群、董月娥、李茂华亲自诊治,开据3个疗程“蛇药医痫丸”,并实施“穴位种植”及“中医割治法”4次后,三年多来再也没有复发。
武汉市江岸区50岁的李先生及其23岁的儿子,有家族遗传癫痫病史,每月发病6次左右。父子俩常年依靠西药“卡马西平、丙戊酸钠、妥泰”维持治疗,产生药物依赖性,每月发病次数更增加至10次以上。一次偶尔的机会,在《中国中医药报》上看到中国蛇协癫痫病专科医院的介绍后,慕名找到刘传群、董月娥主任求治。经过“脑电地形图”及“经颅多普勒”双重检查后,查明大脑神经元异常放电部位、频率及病因,董月娥、刘传群教授为其开据“蛇药医痫丸”加配“镇痫片”四个疗程。吃完第三个疗程后,郑氏父子病情已经完全得到控制,李茂华为他们穴位种植和穴位埋线3次。加服最后一个疗程巩固治疗,郑氏父子彻底摆脱癫痫病数十年以来的困扰!
襄樊汽车城的胡先生,继发性癫痫病8年余,每月发病多达15次以上,突然倒地,两眼上翻,口吐白沫,每次发病靠注射杜冷丁、安定控制病情,服用妥泰、德巴金无效果,2001年脑外科手术后仍然发病,共花费医药费数十万元。上网查询到东方友爱癫痫病专科医院,专程找成贵芳院长、刘传群副院长,经过刘教授、董月娥专家“三联蛇药疗法”5个疗程精心治疗,李茂华对他穴位种植4次,得到完全康复,停药后两年再也没有发作,今年8月,胡先生一家人送来一张“癫痫克星、当代神医”锦旗以表谢意!现在还竞选当上了营销经理。
中国蛇协友爱癫痫病医院
专家团来襄樊会诊通知
为了解除广大癫痫病患者的痛苦,应康健医院邀请,中国蛇协友爱癫痫病专科医院刘传群副院长率专家团来荆州举行“三联创新疗法治疗癫痫病”大型学术推广暨专家会诊活动。专业治疗原发性、继发性癫痫病。会诊后由中国蛇协委派著名癫痫专家董月娥常年坐诊!(请携带近期各种检测单和病历)
襄樊康健癫痫病专科医院地址:樊城区春园西路12号
会诊时间:2007年12月1日——12月30日
会诊期间:
1、免专家会诊费、挂号费、咨询费;
2、脑电地形图、经颅多普勒双向检测费优惠30%;
3、药费优惠10%。
4、敬请提前预约。
中国蛇协总部电话:07328553529襄樊分院电话:0710-3233399值班手机13872431365
中国蛇协副会长 刘传群主任
市内有救护车免费接送
网址:www.dfdxyy.com